Indhold – Links til artikler på denne blog

Boganmeldelse: “Kræft er ikke nogen sygdom – Det er en overlevelsesmekanisme” af Andreas Moritz

Om fodbold og sundhedspolitik

Alternativ behandling af kræft forringer overlevelseschancerne

Alternativ borreliadiagnostik og -behandling

Akupunktur er ikke en flere tusinde år gammel kinesisk behandlingsform

Homøopati er ikke naturmedicin – Det er samtaleterapi med overtroisk overbygning

Kvakademisk forskning og orgasme-healing

Om broer og flyvende tæpper

Bevillinger til forskning i effekt af alternativ behandling er spild af penge – Erfaringer fra ViFAB

RAB-ordningen sikrer ikke forbrugerbeskyttelse

Pseudovidenskabligt funderet sundhedspolitik

Øreakupunktur?? Man skal høre meget før ørerne falder af

Øreakupunktur ?? Man skal høre meget før ørerne falder af

van gogh maske

På en ortopædkirurgisk afdeling i Danmark går man all in m.h.t. at inddrage alternativ behandling. Har man eksempelvis bulder med knæet kan man blive behandlet med øreakupunktur, akupressur eller lysbehandling.

afdelingens hjemmeside står der:

Her i afdelingen har alle sygeplejersker samt en social og sundhedsassistent deltaget og bestået akupunktur/akupressur kursus, som blev varetaget af RAB behandlere (RAB står for registreret alternativ behandler). Her har vi fået speciel undervisning i akupunktur, akupressur samt lys behandling…

Lysbehandling betyder her belysning af akupunkturpunkter i øret med en (dyr) lygte.

Opfindelse af øreakupunktur

Øreakupunktur blev opfundet i 1950’erne af en mand ved navn Paul Nogier. Han observerede, at patienter som blev brændemærket i ørerne rapporterede, at deres rygsmerter forsvandt. Ud fra dette fantaserede han sig til, at øret ligner et sammenkrøbet foster, hvor hovedet vender nedad. Og han fantaserede sig til, at påvirkning af punkter i øret ville påvirke de anatomiske lokalisationer i kroppen som afbilledes i dette foster.

Beskrivelsen af hvordan han fastlagde punkterne som spejler organerne illustrerer hvor fantasifuldt et behandlingssystem, der er tale om. Han havde suggereret sig selv (og et par kolleger) til, at håndledspulsen ændrer karakter (ikke bare antal slag per minut) når et øreakupunkturpunkt stimuleres. For at fastlægge hvilke punkter, som spejler hvilke organer krævedes 3 ampuller indeholdende en homøopatisk præparation af det organ hvis punkt(er) skulle identificeres, en forsøgsperson/patient samt 3 læger.

Ganske kort fremstilles en homøopatisk præparation af et fast stof ved, at udgangsstoffet (her et organ – f.eks. en nyre) knuses/moses og blandes sammen med laktose. Dette opløses i vand eller alkohol. Opløsningen undergår herefter en serie fortyndinger med kraftig omrystning mellem fortyndingerne. Det færdige præparat er ofte så kraftigt fortyndet, at der ikke er et eneste molekyle tilbage af udgangsstoffet.

Et ampul blev anbragt på forsøgspersonens pande, et ampul blev holdt i hånden af forsøgspersonen, og en af de tre læger brugte det sidste ampul til at berøre forskellige punkter i øret. De to øvrige læger undersøgte pulsen på henholdsvis højre og venstre side. Et punkt var fundet når en af lægerne kunne annoncere, at pulsen skiftede karakter ved berøring af et punkt med sådan et glasampul.

Ræsonnementet bag denne fremgangsmåde var, at et sådant glasampul anbragt på forsøgspersonen over nøglebensniveau vil dæmpe reaktionen, mens et ampul anbragt under nøglebensniveau (f.eks. i hånden) vil forstærke reaktionen. Det autonome nervesystem forvirres når ampuller findes på begge sider af nøglebenet. Kun når det øverste ampul berører ”spejlingspunktet” vil pulsændringerne blive fremkaldt. Prøv ikke at forstå ovenstående forklaring. Det er fri fantasi/pseudovidenskab.

Der findes flere øreakupunktur-systemer

Der er sidenhen opfundet andre øreakupunktursystemer. Nogle punkter er overensstemmende – Andre er det ikke. Øreakupunktursystemet NADA benytter sig eksempelvis kun af 5 punkter. Nogle har forsøgt sig med at karakterisere det mikroskopiske udseende af akupunkturpunkter. Man har således påstået, at punkterne er relateret til neurovaksulære komplekser (Det påstås bl.a. i en dansk lærebog om NADA), mastcelleansamlinger, nervender, mm.

Nålefri øreakupunktur
Som det bl.a. fremgår af den ortopædkirurgiske afdelings hjemmeside, kan akupunkturpunkterne stimuleres på andre måder end ved at stikke nåle i dem. Man kan nøjes med trykke på punkterne (akupressur) eller belyse dem med en (dyr) lygte.  Vi har altså at gøre med et fantasibaseret behandlingsprincip, som kan udføres v.h.a. så forskelligartede metoder som nålestik, fysisk trykpåvirkning samt belysning (med en dyr lygte).

Øreakupunktur (NADA) til misbrugsbehandling i Danmark

Det er ikke kun den pågældende ortopædkirurgiske afdeling som er hoppet med på ideen. I Region Midt er det et fasttømret tilbud til patienter i misbrugsbehandling. På et behandlingscenter i Region Hovedstaden er man angiveligt gået et skridt videre, idet man i praksis har gjort behandlingen obligatorisk. Ifølge journalist Arne Notkin beskriver en patient i misbrugsbehandling, som han har kendt gennem mange år at:

 …man skulle som patient sidde med nåle i ørerne på en fælles stue. Hvis man nægtede, kunne man ikke få anden hjælp. Man skulle “samarbejde”.

Hvis man vil udsætte patienter for en obligatorisk behandling uden biologisk plausibilitet bør man sikre sig, at der i det mindste er overbevisende evidens for, at det alligevel virker. Det hævdes i ovennævnte danske lærebog, at den evidens findes. Men det er jeg nu ikke helt overbevist om er rigtigt.

Hvad siger evidensen om effekt af NADA i misbrugsbehandling?
Man kan sagtens finde undersøgelser, som finder at det virker (Nogle af disse er omtalt i den danske NADA-lærebog). Og man kan ligeledes sagtens finde undersøgelser, som siger at det ikke virker (Ingen af disse er omtalt i den danske NADA-lærebog).

Hvis man skal danne sig et overblik over hvad den samlede evidens siger, skal man lave en såkaldt systematisk oversigt. Lidt forenklet skal man samle alle forsøgsresultater, vurdere risiko for fejlslutning af de enkelte undersøgelser og sammenfatte det hele.

Nogle tilhængere/udøvere fremhæver denne oversigt som dokumentation for, at NADA virker. Men Dokumentationen er virkelig ikke særlig god. Der er f.eks. dette lodtrækningsforsøg. Her ville man undersøge om NADA har effekt på kokainmisbrug. Man sammenlignede effekten hos de som fik NADA med effekt hos patienter, som i stedet blev behandlet med indstik udenfor akupunkturpunkterne eller afslapning. De som fik NADA havde statistisk signifikant lavere indhold af kokain i urinprøver. Men 66% af patienterne i NADA-gruppen sprang fra inden forsøgets afslutning. Tilsvarende for placeboakupunktur og afslapnings grupperne sprang 47% hhv. 19% fra.

Det er ikke en ligegyldig detalje. En oplagt mulig forklaring på at man springer fra et sådan et forsøg er, at det simpelthen ikke virker. Et frafald på 66% er alt for stort til, at man kan opfatte effekten hos de der gennemførte som værende informativ.

Undersøgelsen er den bedst gennemførte, som er rapporteret i oversigten, og er således slet ikke god nok til at dokumentere, at der er en reel effekt. Den medtager også resultater af pilotforsøg som viste lovende resultater. Det er sådan set OK. Men det er problematisk, at den udelader de opfølgende større undersøgelser, som fandt at de lovende resultater fra pilotforsøgene udeblev.

Hvad fortæller den samlede eksisterende forskning?

Søger man i databaser over lægefaglige videnskabelige artikler – F.eks. PubMed, kan man sagtens finde frem til undersøgelser, som viser at øreakupunktur virker. Og man kan sagtens finde frem til undersøgelser, som finder at øreakupunktur ikke virker (Typisk formuleret, at man ikke kan påvise, at det virker).

Og det er ikke nødvendigvis dårlig videnskab, som finder effekt af virkningsløse behandlinger. Det kan også ske ved statistiske tilfældigheder. Og tilsvarende kan det også være et resultat af tilfældigheder, at undersøgelser ikke finder effekt af virksomme behandlinger. Skal man vurdere om en behandling virker bør man derfor gennemgå al tilgængelig forskning på området.

Man skal altså undersøge hvad resultaterne af de tilgængelige undersøgelser viste og sammenholde det med kvaliteten af undersøgelserne samt behandlingsformens plausibilitet. Generelt er de eksisterende undersøgelser af øreakupunktur kvalitetsmæssigt i den lavere ende.

Cochrane-samarbejdet er en meget anerkendte kilde til sammenfatning af forskningsresultater. Grupper tilknyttet Cochrane samarbejdet indsamler systematisk publiceret såvel som upubliceret forskning m.h.p. besvarelse af den type spørgsmål vi interesserer os for her. Og de offentliggør deres fund i systematiske oversigtsartikler. Det sker dog undertiden, at oversigterne er fejlbehæftede, men i det store hele er de en god kilde. Der findes også glimrende oversigter, som er udarbejdet uafhængigt af Cochrane samarbejdet, men som følger de samme principper.

Da det især er indenfor misbrugsbehandling at øreakupunktur anvendes indenfor det offentlige sundhedsvæsen vil det være på sin plads at se lidt detaljeret på, hvad den samlede evidens egentlig viser der.

Evidens vdr. øreakupunktur til misbrugsbehandling:

  1. Cochrane: Auricular acupuncture for cocaine dependence .Der analyseres i alt 7 undersøgelser med tilsammen 1.433 patienter, som opfyldt kriterierne for at indgå i oversigten. Der kunne ikke påvises gavnlig effekt mod kokainafhængighed.
  2. Harm Reduction Journal: Efficacy of acupuncture for cocaine dependence: a systematic review & meta-analysis. To af forfatterne er tilknyttet Canadian College of Naturopathic Medicine. Intistutionen afholder flere kurser i akupunktur, og kan således ikke med rimelighed antages at have forudfattede meninger mod behandlingsformen.Oversigten er en analyse af 9 forsøg med i alt 1747 patienter. Behandlingsformerne omfattede såvel NADA som andre akupunkturformer. Heller ikke denne analyse kunne påvise effekt mod afhængighed.
  3. The Journal of Alternative and Complementary medicine: Auricular Acupuncture in the Treatment of Cocaine/Crack Abuse: A Review of the Ef ficacy, the Use of the National Acupuncture Detoxification Association Protocol, and the Selection of Sham Points. Her er der tale om et tidsskrift, som I den grad er positivt stemt overfor for alternative behandlingsformer bragte denne analyse. Her indgik 6 forsøg med NADA med et uoplyst antal forsøgsdeltagere. Igen kunne man ikke påvise nogen specifik gavnlig effekt af NADA.

Tilsvarende resultater findes ved behandlingsforsøg rettet mod andre former for misbrug. F.eks. opioid (heroin , morfin) misbrug:

  1. ) Denne analyse offentliggjort i The American Journal on Addictions omfattede 4 forsøg med i alt 350 deltagere. Der kunne ikke påvises effekt.
  2. En analyse offentliggjort i Journal of Substance Abuse Treatment er det desværre ikke frit tilgængeligt. Men forfatterne sammenfatter resultatet således:

    When well-designed clinical trials (randomized, controlled, single-blind methodologies) were used, there was no significant evidence for acupuncture being a more effective treatment than controls.

  3. Tidsskriftet Evidence based Complimenteary and Alternative Medicine er positivt stemt overfor alternative behandling, og offentliggjorde en systematisk overtsigtsartikel med titlen Acupuncture for the Treatment of Opiate Addiction. Heller ikke denne kunne påvise en specifik af øreakupunktur eller andre akupunkturformer.

Evidens vedrørende øreakupunktur til behandling af andre tilstande

Mange undersøgelser handler om smertetilstande. Cochrane Instituttet har lavet en oversigt over effekt af øreakupunktur ved cancerrelaterede smerter. De kunne ikke påvise specifik effekt af øreakupunktur. Der er heller ikke overbevisende specifik effekt af akupunktur – inklusive øreakupunktur mod skuldersmerter.

Sammenfatning 

Øreakupunktur er ikke baseret på viden fra anatomi og fysiologi. Og Nogiers kortlægning af akupunkturpunkter som ovenfor beskrevet er rendyrket pseudovidenskab.

Resultaterne af de bedste kontrollerede forsøg understøtter ikke, at den effekt som opleves af patienter (og behandlere) er mere end en placeboeffekt.

Udstrakt brug af øreakupunktur i sundhedsvæsnet må betegnes som uetisk, da en påstand om, at placebobehandling har specifikke effekter er at tale usandt for patienten – Og det ændres ikke ved, at behandleren selv tror på det. Især er det problematisk at afskære patienter med misbrugsproblemer fra anden behandling begrundet i manglende samarbejde.

Boganmeldelse: “Kræft er ikke nogen sygdom – Det er en overlevelsesmekanisme” af Andreas Moritz

Besøger man en alternativ behandler, som arbejder ud fra “Metasundhed” er der stor sandsynlighed for, at han/hun bl.a. er undervist efter en bog skrevet af Andreas Moritz: Kræft er ikke nogen sygdom – Det er en overlevelsesmekanisme.

Den forhandles endda af en ledende udøver af metasundhed med rang af mastertrainer. Og den har indtil fornyligt indgået som pensum i hans kursus. En anden udøver/mastertrainer underviser efter sin egen bog, men lægger ikke skjul på, at han behandler patienter ud fra samme tankegang, som gennemsyrer denne bog.

Det er umuligt at opremse alle forkerte påstande og fejlslutninger i bogen. Men det er mit håb, at denne artikel i det mindste vil få nogen til at forholde sig kritisk til den og til de behandlere, som bekender sig til dens tankegang.

Om Andreas Moritz (27. januar 1954 – 21. oktober 2012)

Han karakteriserede sig selv som ”medicinsk intuitivist”, udøver af ayurveda, irisanalyse, shiatsu og vibrations medicin. Han har skrevet 13 bøger om forskellige alternative ideer. Han var altså ikke kræftforsker i lægevidenskabelig forstand – Hvilket man ellers let får indtryk af, når man læser/hører alternative behandleres anprisning af bogen. Som man kan se på fødsels-/dødsdatoerne blev han kun 58 år gammel.
På internettet florerer der mange forskellige rygter om hvad han døde af. Men uanset hvad, så er der intet som tyder på, at hans alternative helbredelsesmetoder havde gavnlig effekt for ham selv.

Overordnet indtryk af bogen

Lad mig starte dette afsnit med en analogi: Hvad ville de fleste mennesker mon tænke, hvis de læste noget i stil med følgende tænkte eksempel?

Det er slet ikke er hjertet som pumper blod rundt i kroppen. Det er leveren. Alle forstyrrelser i blodkredsløbet kan kureres ved at afholde sig fra at drikke alkohol – Ikke ved hjælp af hjertemedicin. Folk med sygdomme i kredsløbet dør af hjertemedicin. Denne viden undertrykkes af landbrugsindustrien (alkohol er i bund og grund et landbrugsprodukt).

Dette vrøvl er ikke noget Andreas Moritz har sagt. Men for folk som kender til kræftbiologi er det ikke mindre absurd end mange af de ideer, som han fremsætter i bogen, og som udøvere af metasundhed tager for gode varer.

Flere steder refererer han til og fordrejer videnskabelige undersøgelser. Det vil være for vidt at komme ind på dem alle. Men her er der beskrevet et illustrativt eksempel, fra en artikel, som Moritz citerer i sin bog.

Årsager til kræft

I bogen præsenteres flere absurde bud på årsager til kræft – for nogles vedkommende ledsaget af henvisninger til forskning der skal få hans påstande til at se velunderbyggede ud. Jeg vil blot omtale et par stykker:

A) Psykologiske årsager.
Her er et citat fra bogen, som opsummerer dette aspekt:

Kræftpatienter lider typisk af manglende selvrespekt, manglende tro på eget værd, og de har ofte det, jeg kalder en ”ufærdig gestalt” i deres liv. Kræft kan i virkeligheden være en måde hvorpå kilden til en sådan uløst indre konflikt afslører sig. Ydermere kan kræft hjælpe dem med at finde løsningen på en sådan konflikt og ligefrem helbrede den. Den måde man fjerner ukrudt på er ved at tække det op med rode. Det er sådan vi må behandle kræft; ellers kan det ende med, at den vender tilbage.

Og her er et andet citat:

Kræft er på vores side, Ikke imod os.

Og det samme med andre ord:

Kræft er i højere grad en helbredende reaktion end en sygdom. ”Sygdommen” er kroppens forsøg på at kurere sig selv.

Det er præcis sådanne forestillinger om kræft, som udøvere af metasundhed arbejder ud fra. Og det er sådanne forestillinger som gør det svært at have tillid til, at sådanne behandlere vil undlade at gøre et forsøg på at helbrede kræftpatienter (De kalder det aktivere kroppens selvhelbredende kræfter)med det formål. Hvis man ønsker mere information om hvor galt det kan gå kan jeg anbefale disse to artikler, hvor metasundhed går under navnet German New Medicine.

B) Ophobning af toksiner
som følge af længerevarende blokering af kredsløbets og udskillelsessystemernes kanaler.

Han solgte også bøger om leverudrensningskure mm., så det er ikke overraskende at sådanne ideer er med i hans bog om kræft.

C) Brug af solbriller – Den vil jeg ikke kommentere yderligere.

D) Indtagelse af kød – Hans teori er at:

Hovedparten af protein i kød passerer ufordøjet ud i tyndtarmen hvor det enten vil gå i forrådnelse(80 procent) eller komme ind i blodbanen (20 procent). ….

Hvis en større mængde protein ender op i blodbanen, vil det selvsagt gøre blodet tykkere. For at undgå faren for hjerteanfald eller et slagtilfælde vil kroppen forsøge at komme af med proteinet i den væske, der omgiver cellerne….forvandle den intercellulære væske til en gelelignende substans. I denne tilstand kan næringsstoffer, som forsøger at bane sig vej frem til cellerne, blive hængende i den tykke suppe, hvilket øger risikoen for celledød på grund af udsultning.

Sagen er den, at proteiner ikke uden videre kan passere gennem tarmvæggen og ind i blodbanen. Det er nødt til at blive nedbrudt til aminosyrer først. Ovenstående beskrivelse af proteinfordøjelsen er simpelthen ligeså forvrøvlet som en påstand om, at det er leveren der pumper blod rundt i kroppen.

E) Mikrobølgeovne
Det er en ide, som er ganske udbredt i alternative kredse. Men det er og bliver en fysisk kendsgerning at mikrobølger er ret energisvage. Selvom der skulle være lækage fra en mikrobølgeovn vil den hurtigt miste sin energi. En mikrobølge har en levetid på ca. en milliontedel af et sekund. Det er derfor det rene sludder når Moritz skriver at:

[strålingen] ophober sig i køkkenmøblerne, der i sig selv bliver kilde til stråling.

Der er talrige eksempler på vås af tilsvarende kaliber omkring årsager til kræft.

Moritz vrangforestillinger omkring kræftbiologi

A) Karnydannelse
Det er en grundlæggende egenskab ved kræftsvulster, at de er i stand til at aktivere mekanismer, som bevirker at der dannes blodkar, som kan forsyne kræftsvulsten med næringsstoffer mm.

Her er hvad Moritz påstår omkring dette virkeligt eksisterende træk:

….ser kroppen kræft som en forsvarsmekanisme af en sådan vigtighed, at den ligefrem sørger for, at kræftcellerne får deres hårdt tiltrængte forsyninger af glukose, så de kan overleve og brede sig.

Sagen er den, at kræftcellerne producerer signalstoffer, som aktiverer kroppens normale karnydannelsessystem (som f.eks. bruges under sårheling). Karnydannelse er altså ikke noget kroppen finder på for at holde kræftcellerne i live – Det er noget kræftcellerne ”narrer” den til.

B) Metastase(spredning)
Her er Moritz meget tvetunget. På den ene side siger han, at metastaser findes (og det synes han er positivt):

Kræftceller er programmeret til kun at slå sig ned på ”frugtbare” steder med høj toksicitet (høj aciditet eller surhedsgrad), et miljø, hvor de kan overleve og fortsætte deres usædvanlige redningsaktion.

Denne påstand står i skærende kontrast til virkeligheden, idet omkring 90 % af kræftdødsfald netop skyldes metastaser. På den anden side siger han:

Der er intet bevis for, at metastaser virkeligt forekommer. Det er mere sandsynligt, at der udvikler sig en ”ny” kræft i andre dele af kroppen af samme årsager som dem der fok den første kræft til at udvikle sig.

Denne påstand er helt i tråd med det dogme, som udøverne af metasundhed lever efter. Internt er der dog behandlere, som har indset, at det ikke er helt rigtigt.

C) DNA-ændringer
Ifølge Moritz er DNA-ændringer (mutationer) ”uskyldige”. De er en reaktion på de skadelige påvirkninger fra omgivelserne, og når disse skadelige påvirkninger fjernes bliver cellerne – inklusive deres gener – normale igen.

Realiteten er, at det er velunderbygget, at ophobning af genmutationer over tid netop er det, som gør kræftceller til det de er. Den eneste måde at få disse mutationer til at forsvinde er, at destruere kræftcellerne. Hvis man er interesseret i at vide mere om hvordan genmutationer trin for trin omdanner celler til kræftceller kan jeg anbefale ”Hallmarks of Cancer afsnittet” på denne side.

D) Kræft under mikroskop
En beskrivelse af hvad man kan se når man undersøger kræftsvulster under et mikroskop er med til at skabe et indre billede, som styrker påstandene yderligere. Men det er også et redskab vi direkte kan bruge til at kontrollere om Moritz samt udøvere af metasundhed mm. overhovedet ved hvad de snakker om. Her er hvad Moritz skrev:

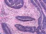
Cellerne i en ondartet tumor er omgivet af et lag fibrin, der er 15 gange tykkere end det, der omgiver normale celler. Alle kræftceller er beskadigede eller sårede. Fibrinlaget beskytter kræftceller mod dødbringende fagocytter, dræberlymfocytter, og cytokiner.

Jeg kan godt forstå at mange kan bringes til at tro på den beskrivelse. Men jeg er patolog. I mit daglige arbejde undersøger jeg kræftsvulster og alt muligt andet under mikroskop. Jeg har undersøgt tusindvis af kræftsvulster under mikroskop. Nedenstående foto er et typisk eksempel på hvad jeg ser i min dagligdag, når jeg kigger på kræftsvulster under mikroskop. Det tykke fibrinlag som omgiver kræftceller eksisterer ikke i virkeligheden.

i24648483._szt5_

Lægevidenskabelig kræftbehandling

Et andet gennemgående tema i bogen er, at konventionel kræftbehandling er af det onde.

Det er en udbredt påstand blandt tilhængere af cancerkvaksalveri , at kun 2% af patienter som får kemoterapi overlever mere end 5 år. Undersøgelsen bag den påstand er også beskrevet af Moritz. Her er en forklaring på hvorfor påstanden er forkert. Men Moritz går endnu længere end det:

De bivirkninger der er resultatet af den ortodokse kræftbehandling er så alvorlige, at de kræftpatienter som overlever og derpå vælger alternativ behandling, ofte bliver skuffede over, at den nye, naturlige behandling bare ”ikke virkede.….Den lægelige behandling  har ødelagt deres krop i et sådant omfang,  at det er meget svært at opnå helbredelse.

Påstanden er således at lægevidenskabelig behandling ikke blot er virkningsløs. Den forhindrer også den alternative behandling i at virke.

Men bogen indeholder flere uhyrligheder:

I gennemsnit er der kun 7 % der oplever en forbedring [ved behandling] . Dette kan lige så gerne være på trods af behandlingen. Dette er mere sandsynligt, eftersom det giver en meget højere succesrate slet ikke at behandle kræft end at behandle den…..

Og

Med en statistik som viser, at moderne lægebehandling af kræft er en fiasko i 93% af tilfældene, kan den overhovedet ikke betragtes som en behandling, men som en alvorlig trussel mod folkesundheden……

Og et sidste grelt eksempel

….kemoterapimedicin bliver anvendt til at begå folkemord.

Hvordan kan en alternativ behandler, som har lært om kræftbiologi og konventionel kræftbehandling efter bøger som denne få sig selv til at anbefale patienterne at følge lægernes anbefalinger???

Sammenfattende bemærkninger

  • Denne bog kan ikke anbefales som støtte til patienter med kræft og deres pårørende. Den er fuld af påstande om kræftbiologi, som beviseligt ikke har bund i virkeligheden.
  • Bogens budskab er helt klart: Den alternative behandling skal erstatte lægevidenskabelig behandling – Ikke supplere den.
  • Hvis man ikke bliver helbredt er det patientens egen skyld (eller den konventionelle behandlings).
  • Alternative behandlere som tror på/forhandler/har lært om kræft gennem denne bog bør ikke have mulighed for at komme i nærheden af kræftpatienter.

Om fodbold og sundhedspolitik

En næsten identisk version af denne artikel er bragt i Dagens medicin. Tegningen er fra denne, og jeg takker for tilladelse til at bringe den her.

De fleste ville sikkert finde det absurd hvis Folketingets kulturudvalgsformand fik udarbejdet lovgivning om, hvem der skulle spille på landsholdet i herrefodbold, og hvordan holdets taktik skulle være. Selvom man er rygende uenig med træneren, så er det udenfor folketingets kompetencer. Man ville kalde det elitært hvis politikerne gennemførte sådan en lovgivning – bare fordi de kan.

Af en eller anden grund ser (nogle af) politikerne helt anderledes på sagen, når det handler om sundhedsområdet. Lobbyisme fra alternative behandlergrupperinger, politikernes egne mavefornemmelser med mere  betyder mere end lægefaglige anbefalinger. Det anses ikke for elitært at bruge sin magt til politisk at gennemføre behandlings- og diagnoserelaterede beslutninger, som er i modstrid med lægefaglige anbefalinger.

At forkaste lægevidenskab har betydning for folkesundheden. Eksempelvis vælger ca. 1% af kræftpatienterne at erstatte konventionel kræftbehandling med noget alternativt. Og videnskabsfornægtelse er en væsentlig drivkraft bag vaccinemodstand.

Men hvorfra stammer utilfredsheden med lægevidenskabens formåen, og deraf følgende behov for med tvang og lovgivning at føre sine/lobbyisternes mavefornemmelser ud i livet? Jeg tror at en væsentlig forklaring paradoksalt nok skal findes i de fremskridt, som lægevidenskaben, teknologien og samfundsudviklingen har skabt.

Takket være lægevidenskabelig forskning kan man i dag yde en langt mere effektiv behandling af sygdomme i dag end man kunne førhen. Men vi er ikke derhenne hvor alt kan helbredes, og det skaber grobund for frustrationer. Vi har i almindelighed et godt helbred, men vi har ikke et perfekt helbred. Det er derfor tillokkende at lytte til folk, som fortæller, at det kan de skaffe os – nemt, smertefrit og naturligt. Det moderne menneske har fået tid til at bekymre sig om alt muligt. Og man kan blive bekræftet i sine bekymringer takket være opfindelse af nye diagnoser. Bare det at have en sød tand er nu et symptom på ”Candida-overvækst”, og det må men endeligt få behandlet af nogen som kender den diagnose og ved, hvad man stiller op mod det.

Så der er masser af grunde til, at der er et marked for alternativister. Men det forklarer ikke hvorfor politikere og andre har mere tiltro til det alternativistiske lobbyister fortæller dem end det som forklares af lægevidenskaben.  

En væsentlig del af forklaringen er, at videnskabelig tankegang ikke er intuitiv. Det er noget, som skal tillæres. Videnskab er en menneskelig opfindelse, som kun er nogle hundrede år gammel. Før vi fik videnskab lærte vi om hvordan verden fungerer v.h.a. egne erfaringer eller andres beretninger. Forståelse af biologi, sygdomme og behandling har gennemgået en historisk udvikling. Eksperters ord var lov. Aristoteles påstod eksempelvis, at mænd har flere tænder end kvinder. Det var der ingen som stillede spørgsmålstegn ved. Senere gik man over til erfaringsbaseret medicin. Evidensbaseret medicin omtaltes først som begreb i 1991.

Udover at lytte til andres beretninger har evolutionen lært os at genkende mønstre. Mønstergenkendelse hjælper os med få observationer til at give mening. Men der er også en risiko for, at vi ser mønstre, som ikke er der. Optiske illusioner der findes på internettet illustrerer fint, at fejltolkning af mønstre er noget vi alle sammen gør. Fejlagtig mønstergenkendelse er en kilde til fejlagtig tolkning af sundhedsrelaterede årsags-/virkningssammenhænge.

Vi har lært at træffe hurtige beslutninger. Det satte vore forfædre i stand til at reagere hurtigt på farer. Men der er også en risiko for, at man drager forhastede konklusioner uden at have den fulde information. Vi er udstyret med følelser. Det motiverer os til at handle. Men det kan få os til at træffe irrationelle valg. F.eks. kan dødsangst eller frygt for en behandling få os til at forsøge ikke-plausible behandlinger.

Sådanne mekanismer har snydt mennesker til at tro på effektivitet af behandlinger som åreladning. Man havde endda en logisk forklaring i form af ubalancer i legemsvæskerne. Og indtil 1960’erne troede man på, at underbinding af a. thoracica interna var effektivt mod angina pectoris hos 90 % af patienterne.

Psykologiske mekanismer som får os til at træffe irrationelle valg er noget vi alle er følsomme for. Og de er en hæmsko for videnskabelig tænkning. Vi skal derfor ikke opfatte alternativister som tosser, men som mennesker. Og vi skal ikke opfatte videnskab som elitært. Videnskab er et værktøj hvormed man kan stille specifikke spørgsmål og få pålidelige svar. Og det er den bedste metode vi har til at kompensere for menneskehjernens tilbøjelighed til at drage fejlkonklusioner. 

Lægevidenskab er ikke perfekt. Den udføres af og med mennesker. Og mennesker begår undertiden fejl. Forsøgspersoner er ikke lige så ensartede som f.eks. kemiske reagenser. Nogle fortæller det de tror forskeren vil høre. Andre husker forkert – Det er veldokumenteret at hukommelsen ikke fungerer som en slags videoafspiller. Den naturlige biologiske variation spiller en vigtig rolle.

Derfor er det ikke overraskende, at videnskabelige undersøgelser kan vise modstridende resultater. Og det er forståeligt, at videnskab kan opfattes som partsindlæg, som kan bruges til at argumentere for egne mavefornemmelser. Men på trods af denne uperfekthed, så har det vist sig gavnligt at styre efter den samlede videnskabelige evidens. Og der findes ingen bedre metode til at vurdere hvad der virker eller ej.

Så hvordan får man politikerne til at stole på lægevidenskaben? Det vil naturligvis hjælpe, hvis nogle af politikerne selv har en naturvidenskabelig baggrund eller er trænet i kritisk tænkning. Eller at de i det mindste er positivt stemt overfor videnskaben – også når den samlet set strider mod deres mavefornemmelse.

Men på længere sigt gælder det om at gøre videnskabelig tænkning populært. Hvis politikerne fornemmer, at folk vil have videnskabsbaseret sundhedspolitik, så skal det nok komme.

Tillæring af kritisk tænkning kan med fordel starte i folkeskolen. En norsk forskergruppe har produceret undervisningsmateriale beregnet for 10-årige. Og de er villige til at dele det m.h.p. oversættelse. Materialet har med succes været afprøvet i et randomiseret forsøg med 10.000 elever fra 120 skoler i Uganda, og resultaterne er offentliggjort i The Lancet. Hvis jeg var fræk ville jeg foreslå, at sundhedsudvalgets medlemmer gennemgik et kursus baseret på dette materiale, men det er jeg ikke. Jeg kan dog anbefale alle voksne at læse den gratis bog ”Virker din behandling”.

Medierne spiller også en vigtig rolle. Jeg hilser ”Mandag Morgen” initiativ med udarbejdelse af et kodeks for god sundhedsformidling velkommen. Men medierne over en bred kam støtter desværre ikke op om det. Udsendelsesrækker med en karismatisk stuntman, som promoverer diverse former for pseudovidenskab eller en ukritisk serie om healing styrker ikke folks tiltro til eller forståelse af videnskab. Direktør for Lægemiddelstyrelsen Thomas Senderovitz har foreslået et radiokoncept med titlen ”Evidenskrigerne”. Det gad jeg godt se blive til virkelighed.

Universiteterne har en særlig forpligtelse til at hjælpe med til at begrænse udbredning af pseudovidenskab. Forskere som hævder, at det er den videnskabelige metode der er forkert, hvis den ikke kan påvise specifikke effekter af alternativ behandling hører ikke hjemme på et sundhedsvidenskabeligt fakultet. Og phd-studerende bør ikke uddannes til at lave (og tro på) pseudovidenskab. Jeg kan godt se ideen i at undervise medicinstuderende i pseudovidenskabelige ideer. Men undervisningen skal ikke varetages af alternativister, og pensum skal ikke fastlægges af ukritiske medlemmer af SRAB.

Sammenfattende er der således mange grunde til at sundhedsvidenskaben ikke har en naturlig autoritet. Og der er mange tiltag, som skal tages i brug for at (gen)skabe tiltroen – eller bygge bro om man vil. Vi skal huske, at selvom mange pseudovidenskabelige ideer er fjollede, så er tilhængerne af disse ideer som udgangspunkt ikke uintelligente – De er mennesker.

Alternativ behandling af kræft forringer overlevelseschancerne

Internettet og ugeblade er fulde af solstrålehistorier om folk som er blevet helbredt for kræft ved hjælp af alternative behandling. Men der er desværre også historier om det modsatte  i dagspressen – At folk eller deres pårørende oplever at alternative behandlere har solgt falske håb, uden nogen som helst gavn for patienten.

Der er en afgørelse fra landsretten, som siger, at alternative behandlere ikke kan dømmes for at behandle patienter for kræft. De må blot ikke reklamere med, at de kan helbrede patienterne.

Langt de fleste benytter alternativ behandling som supplement til den konventionelle behandling. Men ca. 1% af kræftpatienterne vælger helt at erstatte konventionel kræftbehandling med noget alternativt.

I det følgende vil vi se på hvad videnskaben kan fortælle os ved hjælp af systematisk opfølgning af patienter, som har valgt at erstatte konventionel behandling med alternativ behandling.

Hvis man er interesseret i at vide mere om problemerne med solstrålehistorier som bevis kan denne engelsksprogede artikel anbefales.

Systematisk opfølgning

I det følgende vil vi se på fire undersøgelser, hvor man har fulgt op på patienter, som har fået stillet en kræftdiagnose, og hvor patienterne efterfølgende har erstattet hele eller dele af den lægelige behandling med alternativ behandling. Sådanne undersøgelser er altså ikke lodtrækningsforsøg, og slet ikke blindede lodtrækningsforsøg. Men ved sygdomme som ikke (eller yderst sjældent) går i ro af sig selv som f.eks. cancer kan de alligevel godt give brugbare informationer.

Undersøgelse nr. 1

Undersøgelsen blev offentliggjort i 2006, og sammenfatningen kan læses her. Desværre skal man betale for at hente selve artiklen. Hvis man ønsker at kontrollere om denne gennemgang er korrekt (og det bør man), kan man evt. bede biblioteket om hjælp til fremskaffelse af artiklen.

Forskerne var i stand til at finde 47 patienter, som havde fået konstateret brystkræft, og som havde valgt at erstatte lægelig behandling med alternativ behandling.  Det var muligt at lave opfølgning på hvordan det sidenhen var gået for 33 af patienterne. Vi kan strengt taget ikke vide om de sidste 14 lever i bedste velgående, eller om de er døde.

Der er flere adskilte dele af lægelig behandling, som kan fravælges. Nogle fravalgte fulstændigt at blive opereret. Andre blev opereret men fravalgte efterfølgende kemoterapi og/eller strålebehandling. Der var 5 af patienterne, som i første omgang valgte alternativ behandling, men senere ønskede operation.

Man har systematisk registrering af hvordan det går patienter, som modtager lægelig behandling. Forskerne kunne derfor lave en sammenligning af forløbet hos de 47 patienter med det man ville forvente, hvis de havde modtaget standardbehandling.

Brugerne af alternativ behandling havde flere tilbagefald, og flere døde af deres sygdom sammenlignet med hvad man ville forvente hvis de havde modtaget lægelig behandling. Det berørte især patienter som havde fravalgt kirurgi, men også patienter som afstod fra supplerende kemoterapi og/eller strålebehandling. Der var ikke eneste tilfælde hvor kræftsvulsten var blevet mindre.

Undersøgelse nr. 2

Denne undersøgelse blev offentliggjort i 2011, og nogle af forskerne deltog også i undersøgelse 1 beskrevet ovenfor.

Undersøgelsesstrategien var den samme, men de havde opsporet flere patienter, og de havde en længere opfølgningsperiode.

Undersøgelsen omfatter i alt 61 patienter, hvoraf 26 fravalgte operation og 35 fravalgte supplerende Hormon-, stråle- og/eller kemobehandling.

Af de 26 patienter som fravalgte operation var der kun én, hvor svulsten ikke havde ændret størrelse. Hos de øvrige var svulsterne mediant vokset fra 2,0 cm til 7,8 cm. I artiklen vises dette foto af det mest ekstreme tilfælde.

Det oplyses i artiklen, at svulsten på diagnosetidsunktet 11 måneder tidligere målte 2 cm. I dette tilfælde havde patienten valgt at tage urtemedicin i stedet for at blive opereret.

Ved at tage højde for forskellige faktorer såsom tumorstørrelse, hormon receptor status o.s.v. er det muligt at beregne et skøn over den forventede overlevelseshyppighed. Ifølge denne beregning ville skønsmæssigt 69,5% af patienterne som fravalgt operation være i live i mindst 10 år (120 måneder) hvis de havde ladet sig behandle. Efter mediant 33 måneders opfølgningstid var kun 36,4% af disse patienter i live.

Det så lidt bedre ud for de patienter som senere lod sig operere. Efter en opfølgningstid på mediant 58 måneder var 60 % i live mod forventeligt 73,6% efter 10 år. Blandt de 35 som havde fravalgt supplerende hormon-,kemo- og/eller strålebehandling  fik de 25 tilbagefald (og heraf var 4 døde på opfølgningstidspunktet). Der var 4 ud af de 29 (13,8%) som ikke havde fået tilbagefald. Havde patienterne ladet sig behandle ville man forvente, at 74,3% af patienterne ikke ville få tilbagefald.

Undersøgelse nr. 3

Denne undersøgelse blev offentliggjort i 2012 i et tidsskrift der fokuserer på alternativ behandling. Undersøgelsen er en del af en større videnskabelig undersøgelse, som kaldes WHEL. Formålet med WHEL studiet var at undersøge kostens betydning for tilbagefald af brystkræft.

 I delundersøgelsen som vi omtaler her sammenlignede man tilbagefalds-forekomsten blandt 177 patienter som fravalgte supplerende hormon-, kemo- og/eller strålebehandling med tilsvarende patienter, som fik behandlingen. Nogle af de 177 patienter fik alternativ behandling mens andre ikke gjorde. Undersøgelsen viste følgende:

1) De som fravalgte supplerende behandling havde 90% højere risiko for tilbagefald end de som fik behandling
2) De som fravalgte supplerende behandling havde 70% højere risiko for at dø end de som fik behandling
3) Brug af alternativ behandling ændrede intet ved disse risici.

Undersøgese nr. 4

Denne undersøgelse er udført i Canada, og blev offentliggjort i 2012.

Her havde forskerne identificeret 87 patienter, som havde fravalgt operation (med eller uden forudgående kemo-/strålebehandling). De blev sammenlignet med tilsvarende patienter, som fik behandling.

Ud af de 87 patienter er det sikkert, at 50 af dem fik alternativ behandling. Det er tænkeligt, at i hvert fald nogle af de resterende 37 patienter fik alternativ behandling, men det kan vi strengt taget ikke vide.

Nogle af observationerne er sammenfattet i denne tabel:

https://anaximperator.files.wordpress.com/2012/08/tabel2_01.png

Den viser stadiet (hvor fremskreden kræftsygdommen er) på det tidspunkt kræftdiagnosen blev stillet samt stadiet på opfølgningstidspunktet. Romertallene angiver stadiet. Jo højere desto mere fremskreden kræftsygdom.

Kræften var mere fremskreden hos 83 af patienterne. Stadiet var uændret i 4 tilfælde. Ikke i et eneste tilfælde var kræften blevet mindre fremskreden.

Forskerne har også undersøgt overlevelsen, og har kunnet konstruere denne kurve.

https://anaximperator.files.wordpress.com/2012/08/1477-7819-10-118_02.png

Den viser sammenhængen mellem procentdelen af patienterne som er i live i forhold til den tid der er gået siden de fik diagnosen. Jo højere linjen ligger, desto bedre er overlevelsen. Efter 5 år var 81,9 % af de patienter som fik lægelig behandling stadigvæk i live. Dette var kun tilfældet for 42,2 % af de patienter som havde fravalgt behandling.

Undersøgelse nr. 5

Denne undersøgelse blev offentliggjort i januar 2018. Her opsporede man 280 bryst-, prostata, lunge- og tarmkræftpatienter, som havde fravalgt konventionel behandling, og sammenlignede dem med 560 patienter med tilsvarende kræftformer/-stadier. Patienter som havde fjernspredning på diagnosetidspunktet indgik ikke i undersøgelsen. Samlet set var risikoen for at dø af sygdommen i observationsperioden 2,5 gange større for de der fravalgte konventionel behandling. Mest udtal var risikoen for patienter med brystkræft (5,68 gange større risiko). Der var ingen målbar forskel hos patienter med prostatakræft.

Hvad kan vi så lære af sådanne undersøgelser?

Selvom undersøgelserne ikke er perfekte set ud fra et videnskabeligt synspunkt, så peger systematisk opfølgning af mere end 600 patienter entydigt i samme retning:

At erstatte konventionel kræftbehandling med alternativ behandling forringer chancerne for at blive helbredt.

Alternativ borreliadiagnostik og -behandling

En næsten identisk udgave af denne artikel er bragt på ugeskriftet.dk

I 2016 oplevede vi det usædvanlige, at en TV2 udsendelse, der oprindeligt var tænkt som endnu en “udstilling-af-inkompetente-danske-læger-udsendelse” endte med at blive en dokumentar om hvor snydt man kan blive af tyske læger med en alternativ (neben)geschäft.

I udsendelsen præsenteredes patienter, som havde fået stillet diagnosen borreliose i Tyskland (men ikke i Danmark). Og en række raske TV2 journalister også blev testet positive. I udsendelsen oplyses det, at den alternative test er falsk positiv hos 85% af raske personer.

Myten om utilstrækkelig borreliadiagnostik i Danmark har tidligere været fremført af medierne. DR har f.eks. bragt en BBC-udsendelse med titlen ”Flåten – den moderne vampyr” (Originaltitel:”Lyme-disease – A silent epidemic”). Også folkevalgte ukritiske tilhængere af alternativ behandling har ladet sig forføre til at tro, at den måde vi diagnosticerer og behandler borreliainfektioner i Danmark er elendig – i modsætning til hvad tyske alternative klinikker kan præstere. Og de har forsøgt at indføre den alternative tyske test via lovgivningsarbejdet på trods af lægefaglige anbefalinger. Det skal retfærdigvis indskydes, at de ikke (mig bekendt) har fremturet med ideen siden TV2-udsendelsen. Om det skyldes en erkendelse af, at de var gal på den, eller en erkendelse af, at forslaget ikke kunne samle flertal kan vi kun gisne om.

Er de tests vi anvender i Danmark så ringe som rygterne siger?

Dagbladet Information skriver i en artikel om udsendelsen, at ”Faktum er under alle omstændigheder, at ELISA-testen [Som anvendes rutinemæssigt i DK] er usikker”. Det kommer an på hvad man mener. Der er et usikkerhedsmoment ved mange (alle?) diagnostiske tests. Selv en undersøgelse af maven kan være usikker m.h.t. sikker diagnose/udelukkelse af blindtarmsbetændelse.

Informations journalist er med på, at den tyske test er ubrugelig. Men han nuancerer ikke rigtigt usikkerhedsmomentet ved den test vi bruger i Danmark. I en klaringsrapport fra 2014 om borreliose anføres det, alle med neuroborreliose bliver positive i løbet af 6 uger. Kun 50 % af patienterne med et karakteristisk udslæt, som går under betegnelsen erythema migrans har positiv test på diagnosetidspunktet, men her kan man behandle på det kliniske billede alene. Kun ca. 5 % af ikke-inficerede får et falsk positivt prøvesvar. Under de rette kliniske forhold kan man altså godt have tillid til sådan en test.

Nogle steder (bl.a. USA) suppleres ELISA testen med en western blot. I klaringsrapporten konkluderes det, at dette ikke bidrager væsentligt til øget diagnostisk sikkerhed.

Andre tests

Arbejdsgruppen bag klaringsrapporten har også undersøgt, om de alternatives tests er relevante. Bestemmelse af CXCL13 i rygmarvsvæske, lymfocyttransformationstest og tælling af undergrupper af lymfocytter er vurderet, og fundet værdiløse. Om mikroskopi af blod anføres:

”Trådlignende strukturer fra plasmaproteiner kan ved direkte mikroskopi af blod fejltolkes som ”spirokæter”, selvom størrelse eller form ikke passer.”

Kronisk borreliose – Det fjerde stadium

Et stridspunkt er, om der findes et fjerde stadium, hvor bakterierne kan gemme sig for immunsystemet. En gruppe af amerikanske læger med patologen Allan MacDonald i spidsen hævder, at borrelia kan gemme sig i biofilm. Tidligere påstod de også, at borrelia kan eksistere intracellulært. Kun læger med særlig ekspertise kan ifølge dem diagnosticere det. I kølvandet opstod der en million-dollar industri, hvor alt muligt blev diagnosticeret og behandlet som kronisk borreliose. Disse ”særligt kyndige” borreliaeksperter har sammen med deres patienter organiseret sig i en forening ved navn International Lyme and Associated Diseases Society (ILADS).

Ifølge ILADS kan sygdomme som Mb. Parkinson, refleksdystrofi, autisme, fibromyalgi, dissemineret sklerose samt ALS tilskrives (og behandles som) kronisk borreliose. Ligeledes hævdes det, at symptomer som f.eks. selvmordstanker, hårtab, hovedpine, uregelmæssig menstruation, vægtændringer, obstipation, diarré, svimmelhed mm. kan være tegn på kronisk borreliose.

Hvis nogen tror, at der er rige indtjeningsmuligheder med sådan en sygdomsentitet, så har de ret. Der er adskillige læger, som er blevet millionærer, såvel via direkte betaling fra patienter som via patienternes forsikringsselskaber. Udover langvarig antibiotika behandling anbefaler ILADS også mere alternative behandlinger som højdosis vitaminer og mineraler, urter, intravenøs brintoverilte, homøopati, magneter, lavementer, feberterapi og meget meget mere.

Observerede bivirkninger til ”borreliosebehandling” efter retningslinjerne fra ILADS

Det er ikke overraskende, at der er forekommet tilfælde af infektioner, som er modstandsdygtige overfor antibiotika. Dertil kommer at behandling med ceftriaxon har resulteret i operationskrævende galdestenssygdom. IV-behandling har resulteret i dødeligt forløbende komplikationer i form af blodpropper. Allergiske reaktioner samt hæmning af knoglemarvens funktioner er også beskrevet. Feberbehandling i Mexico har udløst behandlingskrævende malariainfektion. Forgiftningstilfælde med bismut er ligeledes beskrevet.

Spekulationer omkring biofilm er ikke klinisk relevante

Vi ved med 100 % sikkerhed, at borrelia ikke er en intracellulær bakterie. Og det påstår ILADS mig bekendt heller ikke længere. Jeg skal ikke gøre mig klog på, om borrelia kan danne mikrofilm. Men spørgsmålet er, om dette er klinisk relevant. Der er flere tegn på, at svaret herpå er et nej:

  1. Påvist borrelia er nem at slå ned med antibiotika såvel in vitro som in vivo.
  2. Kroniske smerter og kronisk træthed (En påstået konsekvens af biofilmen) optræder ikke hyppigere blandt patienter, som er diagnosticeret korrekt med borrelia sammenlignet med folk som aldrig har været inficeret.
  3. Flere randomiserede kliniske forsøg viser samstemmende, at der ikke er forskel i effekt mellem langvarig antibiotika behandling og placebo.

IDSA tog stilling

IDSA (Infectious Diseases Society of America) er en sammenslutning af infektionsmedicinere med ca. 9000 medlemmer. I 2006 udgav foreningen et sæt retningslinjer baseret på end 400 videnskabelige artikler. Det anføres bl.a.:

På grund af manglende biologisk plausibilitet, manglende effektivitet, manglende underbyggende data og risiko for patientskader frarådes følgende behandlinger af [såkaldt kronisk] borreliose: hyperbar oxygen, ozon, feberterapi, intravenøs immunoglobulin, cholestyramin, intravenøs brintoverilte, specifikke næringsstoffer, vitaminer, magnesium og bismut indsprøjtninger.”

Det var altså retningslinjer, som gik stik imod det ILADS anbefalede. Med så klare udmeldinger var der en risiko for, at forsikringsselskaberne ville ophøre med at dække behandlingerne, hvorved en væsentlig indtægtskilde ville forsvinde.

Truslen mod IDSA

Det er let forståeligt, at sådanne retningslinjer blev opfattet som en trussel mod ”borreliose behandlernes” indtjeningsgrundlag. Det lykkedes dem at engagere statsadvokat Richard Blumenthal, som på deres vegne anlagde retssag mod IDSA. Men der var ingen love man kunne påstå var overtrådt. Og man havde ikke fakta med sig – Der skal trods alt noget til at gendrive 400 videnskabelige artikler.

Så Blumenthals strategi var personangreb. Man slog på, at 5 af de 14 forfattere til retningslinjerne ikke havde oplyst om deres samarbejde med medicinalfirmaer. At IDSA-retningslinjerne handlede om begrænsning af medicinforbrug/diagnostiske tests var uden betydning. IDSA er en forholdsvis lille forening, så søgsmålet udgjorde en betragtelig økonomisk belastning. Det endte med, at parterne indgik et forlig.

Forliget

Parterne enedes om, at IDSA skulle nedsætte en arbejdsgruppe som skulle revurdere retningslinjerne. En neutral etiker (Howard Brody) skulle afgøre, om enkelte medlemmer af denne gruppe havde interessekonflikter. Hvis ikke mindst 75% af den nye arbejdsgruppes medlemmer bakkede op om retningslinjerne skulle nye udarbejdes.

Arbejdsgruppen brugte godt et års tid til at gå materialet igennem. De afholdt offentlige høringer, og interviewede mindst 150 personer. Rapporten indeholdt hele 1025 referencer. Konklusionen var at retningslinjerne var korrekte, og samtlige medlemmer af arbejdsgruppen var enige derom.

Borreliose behandlerne blev rasende. De mente at arbejdsgruppen var inkompetente, fordi behandlere som tjente mere end 10.000 dollars om året ved borreliosebehandling ikke måtte deltage.

Situationen i dagens Danmark Troen på alternativ borreliose er fortsat stærk – også i Danmark. DR har af flere omgange bragt udsendelser forklædt som dokumentarer, som støtter om ideen. Også efter TV2 demonstrerede hvor galt det kan gå. Vi har ikke set Dansk Folkeparti vedgå at de tog fejl i denne sag, så det er ikke til at vide, om de kunne finde på at forsøge at presse på igen. Men det ligger fast, at der ikke er rimelige begrundelser for at lukke den alternative opfattelse af borrelia ind i varmen – hverken m.h.t. diagnostik eller behandling. Politikerne varetager ikke patienternes interesser ved at presse på for at få indført tvivlsomme tests samt unødvendige (og potentielt skadelige) behandlinger. Den danske klaringsrapport vidner om stor faglighed og viden – også m.h.t. stillingtagen til de alternatives tests.

Akupunktur er ikke en flere tusinde år gammel kinesisk behandlingsform

Næsten identiske udgaver af denne artikel er tidligere bragt på Ugeskriftet.dk og Sundhedspolitisktidsskrift.dk

I starten af 2018 blev der udarbejdet et lovforslag om at forbyde ikke-læger at udføre akupunktur mod brystkassen. Alt tegnede til, at lovforslaget ville blive vedtaget, idet både regeringspartierne og Socialdemokratiet var tilhængere.

Lovforslaget var foranlediget af en række sager, hvor akupunktur på brystkassen forårsagede sammenklappede lunger, heraf et tilfælde med dødelig udgang. Dette tilfælde har været omtalt i dagspressen. Her var der tale om, at en RAB-registreret akupunktør ville behandle patientens hikke vha. akupunktur på brystkassen.

Det blev taget af bordet fordi man ved nærmere eftertanke (og efter høringssvar) fandt, at dette ville indebære ”stor indskrænkning af akupunktørernes erhvervsmuligheder”.

I stedet blev der udarbejdet et nyt lovforslag, som stiller krav om uddannelse hvis en alternativ behandler vil behandle med nåleakupunktur på brystkassen. Mere specifikt et krav om ”kursus i at forebygge, erkende og håndtere skader på lungerne efter nåleakupunktur på brystkassen”. Fristen for indsendelse af høringssvar til dette lovforslag udløb den 3. december.

Akupunktur har mange tilhængere og udøvere. Ikke kun blandt alternative behandlere og læger som lige så godt kunne kalde sig alternative behandlere. Også læger, hvor man med rette i øvrigt kan have fuld tillid til deres faglige dømmekraft. Sygesikring Danmark yder tilskud til behandling med akupunktur.

Jeg har også selv en gang vurderet, at der var tale om en plausibel alternativ behandlingsform. Jeg havde svært ved at tro på meridianer og det stod ikke klart hvad akupunkturpunkterne anatomisk kunne repræsentere. Men jeg var ikke afvisende overfor den tanke, at stik med nåle kunne fremkalde en potentielt gavnlig virkning i kroppen.  

Så jeg synes egentligt ikke, at det er så mærkeligt, at mange politikere er overbeviste om akupunkturbehandlings relevans.

Grundideen i akupunktur er, at der eksisterer en mystisk energi (qi), som strømmer i særlige baner (meridianer). Sygdom skyldes blokering af ”qi”. Denne blokering kan ophæves ved at stikke nåle i særlige akupunkturpunkter.

AKUPUNKTUR ER IKKE EN FLERE TUSINDE ÅR GAMMEL KINESISK BEHANDLINGSMETODE

Et af de sejlivede argumenter for at man skal tage akupunktur til sig går på, at det er en kinesisk behandlingsform, som er flere tusinde år gammel. Det er ikke korrekt. Man kender ganske vist til behandling i Kina med nåle fra ca. 90 f.Kr. Men skrifterne beskriver ikke meridianer, men blodkar. Den teknologi der skal til for at fremstille nåle, som er tynde nok til at akupunktur som vi kender det kan udføres, er kun cirka 400 år gammel. De nåle/lancetter man har fundet blev brugt til åreladning og udtømning af bylder. Sådanne ideer var kendt/anvendt i Grækenland flere hundrede år før det kan spores i Kina. Historikere vurderer, at disse behandlingsideer kom til Kina fra Grækenland via handelsruterne.

De første beretninger i Europa om kinesisk medicin er fra 1300-tallet, og er uden omtale af akupunktur. Vi skal helt frem til 1680, før vi i Europa hører om noget, som minder om akupunktur. Der beskrives indsættelse af nåle i skalpen eller (huden over) livmoderen, som forbliver der under 30 vejrtrækninger.

Der er beretninger om noget der minder om akupunktur i Europa. Men helt frem til starten af 1900-tallet blev det praktiseret uden hensyntagen til akupunkturpunkter og meridianer. På det tidspunkt indsatte man nåle nær smertelokalisationer. Vi skal helt frem til 1939 før meridianer omtales og qi beskrives som en energiform. Og det var ikke af en kineser, men en fransk diplomat – udstationeret i Kina – ved navn Georges Soulie de Morant.

Også øreakupunktur er af nyere fransk oprindelse. Det blev opfundet i 1957 af en enkelt franskmand ved navn Paul Nogier. Han syntes at øret ligner et sammenkrøbet foster, og overbeviste sig selv om, at punkter på øret svarer til bestemte lokalisationer i kroppen jf. dette.

AKUPUNKTURPUNKTER OG MERIDIANER ER IKKE ANATOMISKE STRUKTURER

I klassisk akupunktur arbejder man med 365 punkter. Forestillingen om disse var ikke baseret på anatomisk forståelse, men på kosmologi. Hvert punkt svarede til en dag i året, og derfor var antallet 365. Dertil kommer, at der er eksisterer mange andre akupunktursystemer med egne akupunkturpunkter, som langtfra altid er sammenfaldende. Sammenlagt er der omkring 2000 punkter, som indgår i et eller andet akupunktursystem.

Der foreligger ikke kontrollerede undersøgelser, som bekræfter at stimulation af hver af disse 2000 punkter fører til specifikke effekter i specifikke lokalisationer. Men der foreligger talrige undersøgelser af mulige akupunkturpunkter. Resultaterne heraf er inkonsistente og ikke-reproducerbare. Teorier om, at akupunkturpunkterne er relaterede til nerveender, neurovaskulære bundter, trigger punkter mm. har ikke kunnet bekræftes.

Tilsvarende gælder det for meridianer, at der er variation i såvel antal (mellem 9 og 36) som lokalisation. Forsøg med målinger af elektrisk modstand, radiotracere, termografi, ultralyd og meget andet har ikke været i stand til at påvise meridianers eksistens.

Akupunktur på dyr er også en opfindelse fra det 20. århundrede. Man har simpelthen blot overført et system fra mennesker til dyr. En hest har således en galdeblæremeridian selvom den ikke har en galdeblære.

Medstifter af det britiske akupunkturselskab Felix Mann har selv konkluderet, at akupunkturpunkter og meridianer ikke eksisterer i den virkelige verden.

NÅLE ER IKKE NØDVENDIGE FOR AT STIMULERE ”AKUPUNKTURPUNKTER”

Alternative behandlere anvender mange forskellige metoder til at påvirke akupunkturpunkterne. Anvendelse af strøm er udbredt – Såvel med som uden nåle. Det kan diskuteres, om denne behandlingsform egentlig er akupunktur eller om det rettelig bør kaldes transdermal elektrisk nervesimulation (TENS). Der er også andre mere eksotiske metoder som f.eks. afbrænding af bynke over akupunkturpunkterne (Moxibustion), vakuum (Cupping – med og uden ridser i huden), lys, lyd og massage. Alt sammen metoder, som ifølge udøverne er lige så virksomme som nåleakupunktur.

AKUPUNKTUR ER VIDENSKABELIGT GENNEMUNDERSØGT

Selvom forestillingerne om akupunkturpunkter og meridianer må forkastes fra et videnskabeligt synspunkt, så melder spørgsmålet sig om det mon virker alligevel? Såvel behandlere som patienter melder om gode erfaringer. Intuitivt kan man ikke afvise, at stik med nåle kan have en fysiologisk effekt. En søgning på Pubmed efter kliniske undersøgelser af akupunktur på mennesker fremfinder i skrivende stund 4903 referencer. Der foreligger undersøgelser af akupunkturs effekt på talrige tilstande. Nogle undersøgelser finder en gavnlig effekt, mens andre ikke påviser nogen effekt.

Selv systematiske reviews kommer frem til modstridende konklusioner. I dette systematiske reviews af systematiske reviews fandt man, at de eneste tilstande de systematiske reviews er nogenlunde konsistente m.h.t. positiv effekt ved akupunktur er postoperativ kvalme/opkast samt visse smertetilstande (men ikke andre). Og selv der afviger effekten ikke sikkert fra placeboeffekten.

Det er ikke helt ligetil at lave blindet placeboforskning af akupunktur. Som placebo kan man f.eks. anvende stik i andre lokalisationer end de ”relevante” akupunkturpunkter. Man kan undlade at stikke gennem huden, f.eks. ved hjælp af en særlig placebo-akupunkturnål, hvor nålen trækkes ind i et hylster. Berøring med en tandstikker har også været anvendt som placebo. I et nyligt forsøg var patienterne anbragt i en MR-scanner. Her indebar placeboakupunkturen ingen berøring overhovedet. Forsøgspersonerne kunne se en skærm, som tilsyneladende viste at de blev stukket med nålene, og behandleren udførte de samme håndbevægelser.

Uanset hvilken placebometode som vælges vil behandleren ikke være blindet, og kan evt. signalere dette til forsøgspersonen. Derfor bør man ved akupunkturforsøg spørge forsøgspersonen, om vedkommende tror der er givet rigtig behandling, placebobehandling, eller om vedkommende er i tvivl. Det har man gjort ved talrige akupunkturforsøg. Selvom der ikke er forskel i effekt mellem placebo- og rigtig akupunktur, så er der påvist forskelle i effekt mellem de som tror de har fået akupunktur, og de som tror de har fået placebo. Der er ikke effekt af akupunktur, hvis man tror man har fået placebo, og der er effekt af placebo hvis man tror man har fået akupunktur.

Også nogle udøvere af akupunktur har indset, at der ikke er nogen målbar forskel mellem rigtig akupunktur og placebo. Men det kan man skrive sig ud af, ved at postulere at placebo i virkeligheden er en aktiv behandling. Og man kan overbevise såvel reviewere som redaktører. Her er en artikel fra Alimentary Pharmacology and Therapeutics, hvor der står: 

” We did not add a sham acupuncture arm to this study because of the increasing recognition in the acupuncture literature that superficial (needling of the skin), sham (needling of non‐acupuncture points) and placebo (needling with blunt tip that does not penetrate the skin) acupuncture also provide an active therapeutic effect.”

Dette understøtter egentligt som ovenfor anført, at nåle ikke er nødvendige for at give akupunkturbehandling.

AKUPUNKTUR OG ENDORFINER

Det anføres undertiden, at forsøg har vist, at akupunkturbehandling stimulerer produktion af endorfiner. Og at dette dokumenterer at akupunktur har en specifik virkning.

Men sagen er den, at placebopiller også stimulerer produktionen af endorfiner. Så ikke blot ligner akupunktur en placebobehandling. Det har samme virkningsmekanisme som placebobehandling.

Også hos dyr kan man stimulere produktionen af endorfiner uden brug af nåle. F.eks. er det at smide med en pind fuldt tilstrækkeligt til at stimulere endorfinproduktion hos en hund.

NÅLEAKUPUNKTUR ER IKKE UDEN RISIKO FOR BIVIRKNINGER

Akupunktører er ikke forpligtede til at indberette bivirkninger, og Styrelsen for Patientsikkerhed modtager ikke klager over akupunktører, som ikke er autoriserede sundhedspersoner. Det er en del af RAB-ordningen, at de alternative behandleres brancheforeninger selv står for al klagebehandling. Og det kan være særdeles besværligt at finde frem til klageproceduren. Og man kan ikke forvente, at klagebehandlingen er uvildig.

Min fornemmelse af bivirkninger ved akupunktur er underrapporteret styrkes ved en personlig meddelelse om, at en enkelt afdeling oplever mindst et tilfælde af sammenklappede lunger om året som følge af akupunktur. Og at ikke alle tilfælde indberettes.

Heller ikke den videnskabelige litteratur rapporterer systematisk om bivirkninger. Her er et systematisk review omfattende 57 systematiske reviews af undersøgelser af akupunktur mod smerter samt bivirkninger til behandlingen. M.h.t. bivirkninger var der rapporteret i alt 95 bivirkninger – Heraf 5 med dødelig udgang. Den hyppigste bivirkning var infektion (38 tilfælde). I 42 tilfælde rapporteredes om skader på organer – for hovedpartens vedkommende i form af sammenklappede lunger.

En tysk opgørelse omfattende 229230 patienter behandlet med akupunktur fandt, at 8,6% af patienterne oplevede bivirkninger. 2,2% oplevede behandlingskrævende bivirkninger. Der var ikke rapporteret dødsfald i opgørelsen.

At der er også er risici ved mange typer af konventionel behandling er ikke i sig selv et argument for at acceptere risiko for sammenklappede lunger ved nåleakupunktur på brystkassen. Man bør også tage hensyn til den mulige gavnlige effekt. Og vurdering heraf bør udføres på grundlag af den videnskabelige evidens. Med hensyn til behandling af hikke med nåleakupunktur er den videnskabelige dokumentation af effekt utilstrækkelig.  

DET KORTE AF DET LANGE Akupunktur er ikke en flere tusinde år gammel behandlingsform. Ideerne som ligger til grund for behandling med nåle er muligvis ikke engang af kinesisk oprindelse. Akupunktur er ikke baseret på videnskab, men på fantasier omkring ikke-påviselige punkter langs ikke påviselige meridianer. Mange akupunkturvarianter bruger ikke nåle. Set fra en patientsikkerhedsmæssig synsvinkel er det videnskabelige grundlag for svagt til, at nåleakupunktur på brystkassen kan anbefales mod hikke eller andre tilstande.

Homøopati er ikke naturmedicin – Det er samtaleterapi med overtroisk overbygning.

Næsten identiske udgaver af denne artikel findes på ugeskriftet.dk og skeptica.dk

Dagspressen bragte i juni 2017 en historie fra Italien med titlen ”Forældre gav syg syvårig naturmedicin: Nu er han død”. Kort fortalt, så handlede den om, at et barns forældre valgte homøopatisk behandling til deres barn med mellemørebetændelse i stedet for antibiotika. Den ubehandlede (homøopati er ikke rigtig behandling) mellemørebetændelse bredte sig til hjernen, hvorefter barnet afgik ved døden.

Kort fortalt, så handlede den om, at et barns forældre valgte homøopatisk behandling til deres barn med mellemørebetændelse i stedet for antibiotika. Den ubehandlede (homøopati er ikke rigtig behandling) mellemørebetændelse bredte sig til hjernen, hvorefter barnet afgik ved døden.

Ved naturmedicin vil vi forstå medikamenter, hvis farmakologisk aktive indholdsstoffer forekommer i dyre-, plante- eller mineralriget.

Jeg kan godt forstå, at folk kan tro, at homøopatiske præparater hører hjemme under den kategori. Hvis man kigger på det homøopatiske varesortiment hos Matas, så ligner det grangiveligt alt muligt andet naturmedicin. En britisk undersøgelse fandt, at omkring 40% af de adspurgte troede at homøopati er en slags urtemedicin.

I en artikel om RAB-ordningen omtalte jeg et homøopatisk præparat ved navn ”Excrementum Caninum” (Betyder hunde høm høm) som eksempel på idiotisk alternativ behandling. Enkelte kommentatorer på facebook illustrerede fint ovennævnte forveksling, idet de fantaserede sig til, at præparatet havde noget tilfælles med fæcestransplantation.

Jeg vil ikke give en udtømmende gennemgang af homøopati her. Men jeg vil fremhæve nogle aspekter af det, som giver et indblik i, hvad vi snakker om. Og jeg vil også benytte lejligheden til at illustrere, at man godt kan teste alternative behandlinger videnskabeligt – selvom der er tale om individualiseret behandling.

Homøopatiske grundprincipper

Homøopati blev opfundet for ca. 200 år siden af en tysker ved navn Samuel Hahnemann. Hahnemann beskrev/opfandt tre grundprincipper som dannede basis for homøopati. To af grundprincipperne tror homøopaterne stadigvæk på, mens den tredje (stort set) er droppet. Jeg vil her fokusere på de første to af disse grundprincipper:

1) Lighedsprincippet
Et vigtigt element i homøopati er en antagelse af, at substanser, som fremkalder symptomer hos raske mennesker kan fjerne disse symptomer hos syge, og dermed helbrede dem (homøopaterne kalder det ”Stimulere kroppen til at helbrede sig selv”).  Selvom man finde eksempler på, at konventionelle medikamenter kan give symptomer svarende til de tilstande som de anvendes mod, så er det ikke en generel naturlov. Men homøopaterne er faste i troen på, at det forholder sig sådan.

Det er ud fra dette princip vi skal forstå hvordan homøopaterne er nået frem til de enkelte præparaters virkning. Denne virkning er fastlagt ud fra en såkaldt afprøvning. En afprøvning foregår ved, at 10-20 personer indtager præparatet over et tidsrum, og fører en detaljeret dagbog i perioden. Disse dagbøger underkastes en analyse, og resultatet af disse analyser nedskrives i homøopaternes opslagsværk – Materia medica. Det er værd at vide, at der ikke er tale om blindede afprøvninger.

Det er på den baggrund vi skal forstå hvorfor homøopaterne kan finde på, at præparatet Excrementum Caninum er godt til teenagere, som ikke er til at drive udenfor en dør, er flove over deres forældre, og lider af høfeber. Det var simpelthen det man analyserede sig frem til ved hjælp af sådanne afprøvninger.

Man kan så spekulere over en produktbeskrivelse på Matas’ hjemmeside om homøopatisk arsenik hvor der står:” Bemærk, at indtagelse af dette homøopatiske lægemiddel bl.a. stimulerer appetitten og kønsdriften”. Ingredienslisten siger: ” Acidum arsenicosum (Arsenicum album) D30, Vand, Ethanol (sprit)”. Det er svært at lade være med at gisne om hvilken fest der udspandt sig til den afprøvning.

2) Fortyndingsprincippet
De fleste som har læst/hørt om homøopati er med på, at homøopatiske præparater er kraftige fortyndinger (i vand eller alkohol) af udgangsstoffet. Men homøopati er langt mere idiotisk end blot behandling med kraftigt fortyndede urteudtræk. Hahnemann mente ikke, at det var selve stoffet, men dets sjæl, som betingede effekten.

Homøopaterne tror, at jo kraftigere fortyndet et præparat er, desto kraftigere er virkningen. Under fremstillingsprocessen bliver virkningen således forstærket ved hjælp af potensering, som omfatter serielle fortyndinger med kraftig omrystning mellem hver fortynding.

Man kan på præparatbeholderen aflæse hvor kraftigt præparatet er blevet fortyndet. Hvis der f.eks. om ”Excrementum Caninum” stå, at der er tale om en C30 potensering, så betyder det, at man har fortyndet midlet 1:100 i alt 30 gange (Og rystet kraftigt mellem hver fortynding). I ovennævnte eksempel på homøopatisk arsenik står der, at det er en ”D30 potensering”. Her har man blot anvendt 1:10 fortyndinger (Igen – 30 gange med kraftig omrystning undervejs). Man er således endt med en fortynding som svarer til C15. Pga. omrystningen mellem hver fortynding kan man ikke oversætte direkte fra effekt af et D30 præparat til effekten af et C15 præparat – Tror homøopaterne.

For praktisk formål kan man gå ud fra, at der ikke er relevant farmakologisk aktivitet ved potenseringer højere end C5. Et præparat med en højere potensering end C12 indeholder ikke et eneste molekyle af det oprindelige stof.

Altså – Hvor meget hunde høm høm er der i en flaske C30 Excrementum Caninum? Svar: Ikke en skid – Der er kun dens sjæl (hvis den altså findes – jeg tvivler). Og tilsvarende er der heller ikke spor arsenik i præparatet fra Matas. Den øgede appetit og kønsdrift kan kun stamme fra vand og alkohol – Sikke dog en snaps.

Unaturlige homøopatiske præparater.

Der er en del præparater, som er baseret på menneskeskabte materialer. Man kan f.eks. købe et kombinationspræparat bestående af homøopatisk postevand C30, Rohypnol C30 samt tyrannosaurus rex C30. Et andet præparat er baseret på skibsvrag. Der er endda et præparat fremstillet af Berlinmuren (godt mod en følelse af adskillelse). Og igen – man indtager ikke beton hvis man bliver behandlet med homøopatisk Berlinmur. Det er for længst fortyndet ud.

Der er også andre mere fantasifulde præparater på markedet som f.eks. sydpolen af en magnet, lys fra Venus, måneskin og røntgenstråler.

Et præparat som hedder ”Hekla Lava” er fremstillet helt uden brug af vulkansk aske. Homøopaten fremskaffede opløsningen v.h.a. meditation.

Også præparatet Oscillococcinum fortjener et par ord med på vejen. Det forhandles som middel mod influenza. Oprindelsen kan spores tilbage til den spanske influenzaepidemi 1917-1918. Man kendte da ikke til influenzavirus. Den franske læge Joseph Roy overbeviste sig selv om, at han ved mikroskopi havde påvist en bakterie, som han kaldte oscillococcus i blodet hos patienter med influenza. Og at han havde identificeret den samme bakterie i andelever. Men i dag ved vi stensikkert, at influenza forårsages af en virus. Og det er ikke lykkes for andre at påvise den bakterie. Præparatet sælges i C200 potensering. Der er altså tale om et præparat af en ikke-eksisterende bakterie, som er fortyndet fuldstændigt bort.

Der er simpelthen intet som er for gakket til at kunne komme i homøopaternes Materia Medica – Det skal bare have været gennem en afprøvning først, så man ”ved” hvad det kan anvendes til.

For de særligt interesserede er der her yderligere et par eksempler på absurde præparater.

Er der alligevel noget om snakken? – Den homøopatiske konsultation

Et vigtigt og interessant aspekt ved den klassiske homøopati er konsultationen hos behandleren. En klassisk homøopat udvælger det præparat hun/han vil behandle med ud fra et samlet billede af patientens symptomer, livsstil, sind og spirituelle forhold mm. En konsultation kan derfor snildt tage en time eller mere. Det rejser naturligt nok spørgsmålet, om selve konsultationsprocessen og den medfølgende omsorg kan spille en rolle for de gavnlige effekter, som nogle af patienterne oplever.

Dette var omdrejningspunktet for en blindet undersøgelse offentliggjort i 2011 vedr. patienter med reumatoid artrit (Leddegigt). Patienter blev randomiseret til homøopatisk konsultation eller ingen konsultation. Patienterne som fik homøopatisk konsultation randomiseredes herefter til behandling med individualiseret homøopatisk præparat, standard homøopatisk præparat eller placebo. Gruppen uden konsultation randomiseredes til behandling med standard homøopatisk præparat eller placebo.

Undersøgelsen fandt, at de gavnlige effekter fuldt ud kunne tilskrives konsultationsprocessen. Præparaterne gjorde ingen forskel overhovedet. Givet de homøopatiske præparaters natur er det forventeligt, og det er i overensstemmelse med det man kan udlede af den righoldige forskningslitteratur på området.

På det seneste har homøopaterne kastet sig over piger, som mener de er blevet skadet af HPV-vaccinen. Behandlingen de bruger kalder de CEASE. Den består af vitaminer/mineraler, et til personen udvalgt homøopatisk præparat samt (bortfortyndet) HPV-vaccine. De subjektive forbedringer som rapporteres er med høj sandsynlighed et resultat af konsultationen, og ikke en følge af en ”udrensning”.

Andre varianter af homøopati

Der er forholdsvis få homøopater, som holder sig stringent til Hahnemanns ide (lang snak og ét præparat). Nogle behandler med flere præparater. Andre supplerer med konventionel medicin (eller supplerer konventionel medicin med homøopatiske præparater). Der er også-det-selv-homøopati, hvor man af egen drift skaffer sig et homøopatisk præparat f.eks. fra Matas eller via internettet.

Historikerne er enige om, at Hahnemann var modstander af at homøopati kunne praktiseres på andre måder end han havde udtænkt. De er også enige om, at han havde et hidsigt temperament. Han ville givetvis have bandet og svovlet – og det på tysk – over de andre varianter.

Edzard Ernst beskriver disse varianter i detaljer her.

Det er for øvrigt også et kuriosum, at han hadede apotekere. Han var gift med en apotekerdatter, så det har sikkert været nogle vældige familiefester de holdt.

Farer ved homøopati

Korrekt fremstillede homøopatiske præparater i høj potensering er i sig selv ugiftige. Men det er et problem at en del homøopater anbefaler folk at fravælge vigtig konventionel behandling. Beretningen fra Italien er et godt eksempel. Og det er langt fra enestående.

Deres bud på et alternativ til HPV-vaccination er et andet eksempel. Her anbefales et kombinationspræparat indeholdende Thuja, kaliumsulfat og kviksølvjodid – alle i D6 potensering. Om et andet præparat indeholdende Thuja og svovl anføres det direkte, at det kan anvendes mod celleforandringer i livmoderhalsen.

Det sker også at præparaterne ikke er korrekt fortyndede. For nyligt har man i USA set forgiftninger af små børn, som følge af et præparat baseret på galnebær (Atropa belladonna). Præparatet blev solgt som værende egnet til behandling af smerter ved tandfrembrud. Men produktionsfejl medførte kramper og dødsfald som følge af præparatets indhold af nervegifte som atropin, scopolamin mm.

Sammenfatning

Hvor rigtig naturmedicin har en vis plausibilitet mangler den fuldstændigt for homøopati. Homøopati er for medicin hvad luftguitar er for musik. Det ser vældigt festligt ud, men er uden reelt indhold.

Homøopatiske principper er i direkte modstrid med kemi, fysik, fysiologi mm., og det er veldokumenteret, at der ikke er selvstændige virkninger af homøopatiske præparater.

Det er ugiftigt for kroppen men giftigt for sindet. Det kan få folk til at fravælge effektiv behandling af alvorlige lidelser. Hvis først man tror på homøopati er der ikke langt til at tro på alt muligt andet farligt gøgl.

Forslag til supplerende læsning:
1) Det hurtige overblik
2) Online artikel på dansk skrevet af Ole Hartling (Uddrag af bogen Bedst af alle verdener)
3) Edzard Ernst: Homeopathy – The Undiluted Facts. Bogen er fra 2016. Forfatteren har praktisk erfaring med homøopati –Såvel som patient, behandler og forsker. Og han har lavet masser af anden forskning vedr. alternativ behandling.

Kvakademisk forskning og orgasme-healing

Dette er en opdateret udgave af artikler bragt på ugeskriftet.dk og skeptica.dk

Kvakademisk forskning har til formål at bekræfte, at den alternative behandlingsform man har kastet sin kærlighed på virker. Dette er fundamentalt anderledes end akademisk forskning, som sigter mod at besvare spørgsmålet om en given behandlingsform virker eller ej.

finansloven for 2016 blev der afsat 4 millioner kroner til forskning i effekt af alternativ behandling. Denne forskning havde til formål at bygge bro mellem det konventionelle og det alternative. Midlerne kunne kun søges af patientforeninger. Og kun til projekter, hvor såvel alternative som konventionelle var repræsenterede. Derudover blev der afsat yderligere 1 million kroner til tiltag, som ikke var egentlige forskningsprojekter. De blev i stedet klattet væk på konferencer, workshops, modernisering af SRAB-hjemmesiden m.m.

En artikel i Ugeskrift for Læger beskæftigede sig med holdninger til denne bevilling.

Antropolog Helle Johannessen var utilfreds med bevillingens størrelse. Hun udtalte:”… det er ikke i nærheden af nok, hvis Danmark reelt vil have mere viden om alternativ behandling”. Denne udtalelse står i skærende kontrast til et citat fra hende bragt i Dagbladet Information: ” Al den effektforskning, der er lavet, påviser ingen specifik effekt af alternative behandlingsformer. De finder en uspecifik virkning, der kan kaldes en placebo-virkning.”

Hvis det citat er korrekt, så er det vanskeligt at se hvilken viden om effekt hun mente kunne tilvejebringes med yderligere forskningsmidler. Forskning som sigter mod at dokumentere at alternativ behandling alligevel virker (ud over placebo) er ikke akademisk forskning. Det er kvakademisk forskning. Det er ikke et synspunkt, som er enestående indenfor universitetsverdenen. Også antropolog ved Københavns Universitet Lasse Skovgaard har givet udtryk for, at når videnskaben ikke kan påvise effekt af alternativ behandling, så er det videnskaben der er noget i vejen med.

Frustration blev også udtrykt af Overlæge og professor Asbjørn Mohr Drewes. Han kritiserede, at han (og andre læger) ikke kan få del i forskningsmidlerne. Jeg gætter på, at hans interesse for at forske i effekt af alternativ behandling bunder i hans deltagelse i en række TV-udsendelser tilrettelagt af en stuntman ved navn Lasse Spang Olsen.

Jeg kunne godt have ønsket mig, at han forholdt sig en anelse mere skeptisk til det han så i den forbindelse. Man kan sagtens forestille sig at en galdeblære kan ændre størrelse v.h.a. placeboakupnktur (Der resulterer i sekretion af endogene opioider, som kan påvirke opioidreceptorer i galdeblæremuskulaturen).

En stuntman er ikke en god kontrol til orgasmehealing udført af en orgasmehealer på en til lejligheden medbragt stamkunde med bind for øjnene. Det var faktisk ret nemt at se hvordan stamkunden kunne se hvad der foregik. Der var ganske rigtigt bind for øjnene. Men i nærbilleder kan man se, at der er en stor nærmest tragtformet åbning mellem bindet og næsefløjen. Den til lejligheden medbragte stamkunde behøvede således blot kigge ned langs næsen for at se om det var Spang-Olsen eller Somananda (som healeren hed) der viftede med hænderne.

En skuespiller med en ugennemsigtig papirspose indeholdende leca kugler er ikke en brugbar placebokontrol af en kinesiolog med en gennemsigtig plastpose indeholdende tørret plantemateriale.

Endelig var der en politiker, som var ganske godt tilfreds. Liselott Blixt udtalte:

” Patienterne bruger alternativ behandling. Derfor skal vi give dem en form for dokumentation [Af at det virker] – også selvom dokumentationen ikke kan blive, lige som lægerne vil have den”

Mere direkte kan det næppe siges. Når videnskaben ikke kan levere dokumentation for at et eller andet (tilsyneladende populært) alternativt gøgl virker, så må det dokumenteres på anden vis. Hun var med andre ord stolt af at kunne erstatte akademisk forskning med kvakademisk forskning.

Hvad er pengene så brugt til?

På Sundhedsstyrelsens hjemmeside findes en oversigt over de fire projekter, som har fået støtte. Oplysningerne på hjemmesiden er yderst sparsomme, men det er hvad vi har. Lad os da prøve at overveje, om de støttede projekter har en realistisk chance for at bidrage med information, der kan bruges til at bygge broer.

1) Kræftforeningen Tidslerne fik 1.150.000 kr. til et projekt med titlen ”Validerede [spørge?] skemaers metode til forskning i alternativ behandling.

Spørgeskemaer kan være informative i nogle henseender. Men er Tidslerne mon parate til at acceptere resultater, som går imod deres forestillinger? Der er f.eks. denne spørgeskemaundersøgelse publiceret i 2013, som fandt at brystkræftpatienter der benyttede alternativ behandling havde flere depressive symptomer, end de som undlod. Eller denne som viste, at healing ikke havde gavnlige effekter hos tarmkræftpatienter m.h.t. livskvalitet, depressive symptomer, humør og søvnkvalitet.

Når jeg kigger på Tidslernes hjemmeside, så får jeg indtryk af, at foreningen ikke reelt ønsker neutral information om alternativ behandling. På forsiden skriver de ganske vist:

” I Tidslerne arbejder vi for en positiv og åben dialog mellem alternativ/komplementær behandling og det etablerede sundhedssystem – kun hvis der skabes åbenhed og gensidig forståelse, kan vi som patienter få den bedste behandling.”

Men på selv samme side bringer den et link til filmen ”De forbudte kure”. En film hvis budskab er, at konventionel behandling er rendyrket ondskab, mens en lang række absurditeter er reelle alternative behandlinger. Eller hvad med dette citat fra  hjemmesiden:

 ” Vælger du at sige nej tak til kemo og strålebehandling, er der masser af holistiske komplementære metoder og behandlinger, som kan understøtte de selvhelbredende kræfter.”

Tydeligere kan det vist ikke siges, at i Tidslernes optik betyder komplementær behandling ikke nødvendigvis komplementær i forhold til konventionel behandling. Hensigtserklæringen på forsiden lyder måske sympatisk. Men det er en forening, som åbent støtter op om at fravælge konventionel behandling, for i stedet at vælge alternativ – undertiden direkte farlig – behandling. Jeg vurderer, at risikoen for kvakademisk forskning er høj.

Foreningen er ikke kommet med tilbagemeldinger på hvad deres undersøgelse har vist.

2) Kræftens Bekæmpelse fik 1oo.ooo kr. til et projekt omkring dialog og rådgivning. Midlerne blev dels brugt på et litteraturstudie af viden om alternativ behandling.  Dels på fokusgruppeinterviews af patienter, læger, sygeplejersker og alternative behandlere. Dette skulle afdække ønsker til rådgivning og dialog. Den indhentede viden påtænktes anvendt til udarbejdelse af kursusforløb for sundhedsprofessionelle.

Et af de synlige resultater af dette projekt er hjemmesiden KABcancer.dk. Tanken var at skaffe sundhedspersonale og patienter nem adgang til information om viden omkring diverse alternative behandlingsformer. Det pointeres, at der er klar evidens for, at alternativ behandling ikke kan helbrede kræft. Og det er glimrende med så klar en udmelding.

Men der har alligevel sneget sig kvakademisk forskningsformidling ind. Man lod sig snyde af en fejlbehæftet Cochraneoversigt til at rapportere at homøopati har en mulig effekt på betændelsestilstande i munden, hudirritation ved strålebehandling samt angst. Og man angav, at der kan optræde bivirkninger ved homøopati i form af midlertidig forværrelse af symptomer eller genopblussen af tidligere symptomer – fænomener som karakteriserer ubehandlet normalforløb af talrige lidelser.

Der er ingen tvivl om, at Kræftens Bekæmpelse er skarpe på viden om kræftbiologi og – behandling. Men her synes jeg ikke de helt levede op til deres normale standard.

3)  Landsforeningen af ufrivilligt barnløse Har fik 100.000 kr. til et projekt omkring effekt af akupunktur på AMH (Anti Müllersk Hormon) og ægreserve hos kvinder med lav ægreserve.

Der er lavet en del undersøgelser af akupunkturs rolle i behandling af infertilitet. Her er en Cochrane oversigt, som fandt at akupunktur er virkningsløst i fertilitetsbehandling. Der er også et par referencer på pubmed, som specifikt går på effekt af akupunktur på AMH. På basis af den eksisterende viden er der ikke grund til at en optimistisk tro på at projektet ville påvise en gavnlig effekt. Og der er ingen afrapportering af projektet. Vi aner således ikke om undersøgelsen styrker eller svækker den allerede eksisterende evidens for akupunkturs inefektivitet m.h.t. fertilitetsbehandling.

Hvis formålet med undersøgelsen var at gøre akupunktur stueren m.h.t. fertilitetsbehandling og ikke belyse om det rent faktisk virker, så var der tale om kvakademisk forskning.

4) Scleroseforeningen fik 850.000 kr. til en undersøgelse af akupunkturs virkning på cytokin-niveauer i blodet hos patienter diagnosticeret med multipel sclerose.

De medvirkende akupunktører var til at begynde med vrangvillige med hensyn til at gennemføre det som en enkeltblindet placebokontrolleret undersøgelse (ved brug af særlige placebo nåle), men lod sig overtale. Forsøget fandt, at akupunktur ikke påvirkede cytokinniveauet, og ikke havde nogen indflydelse på patienternes livskvalitet. Så langt så godt. Men i bedste kvakademiske stil konkluderes det, at selvom forøget ikke viser gavnlig effekt af akupunktur, så beviser det ikke, at akupunktur ikke kan have en gavnlig effekt på patienter med multipel sclerose.

Det er klassisk kvakademisk tankgang, at kun positive resultater tæller i den samlede evidens.

Her er et review (ikke cochrane), som ikke fandt evidens for at akupunktur er gavnligt for sclerosepatienter. Scleroseforeningens forsøg er i overensstemmelse med reviewet, og bidrager reelt til den samlede negative evidens.

Er det realistisk at de bevilgede midler bidrager til brobygning?

Tidslerne tager fejl hvis de tror, at de konspirationsteorier og kvaksalverbehandlinger der præsenteres i f.eks. videoen om “De forbudte kure” kan gøres stuerene ved hjælp af spørgeskemaer. Hvis man blander kokage i en æblekage bliver det samlede produkt ikke bedre end æblekagen alene. Og kokagen bliver ikke mere spiselig. På samme måde gør åbenhed overfor kvaksalveri heller ikke kræftbehandling bedre. Og cancerkvaksalveri bliver ikke mere acceptabelt.

Kræftens Bekæmpelses tanker om kursusforløb rummer bestemt muligheder. Men jeg er ikke sikker på at det politiske brobygningsmål kan opfyldes. Onkologer citeres gang på gang i pressen for, at deres erfaringer er, at deres patienter ikke bliver helbredt ved hjælp af alternativ behandling – Det være sig C-vitamin, Cannabis, natriumbikarbonat og meget andet. Og Kræftens Bekæmpelse er også ganske klare i mælet m.h.t. afvisning af den type alternativ behandling.

Hvis onkologer og plejepersonale skal tilbydes oplysende kurser vdr. alternativ behandling vil det være en god idé at inddrage skeptikere med viden på området. Men det er ikke det som det nuværende folketing ønsker.

Forsøgene med akupunktur har jeg heller ikke meget tiltro til m.h.t. brobygning.

De negative resultater fra allerede udførte forsøg har i hvert fald ikke skabt tvivl hos de overbeviste. Selv et positivt resultat af de støttede forsøg ville ikke være tilstrækkeligt til at ændre den samlede negative evidens. Og hvis man kun mener at positive fund er informative, ja så der ikke tale om akademisk forskning men om kvakademisk tidsspilde

Om broer og flyvende tæpper

Næsten identiske udgaver af denne artikel forefindes på ugeskriftet.dk og skeptica.dk

Der er et stærkt politisk ønske om brobygning mellem alternativ og konventionel behandling. Men er det nu også så fornuftig en idé, som det intuitiv forekommer??

Vi lever i en tidsalder, hvor ca. 76 % af konventionel behandling er baseret på overbevisende evidens. Og ca. 37 % endda på randomiserede kontrollerede forsøg. Det vil være et tilbageskridt at inddrage udokumenterede (og undertiden helt absurde) behandlinger i det offentlige sundhedsvæsen.

At være eller ikke at være alternativ.

Nogle tiltag opfattes som alternative uden at være det. Eksempelvis er motion og massage glimrende supplementer. Kostråd er heller ikke alternativt. Kostvejledning på et videnskabeligt grundlag er mere meningsfuldt end mere eller mindre fantasifulde kostråd fra selvudnævnte kosteksperter.

Undertiden fremføres det, at de alternative behandlere bruger meget mere tid på at snakke med deres patienter. Det er bestemt muligt, men at snakke med patienterne er ikke alternativt.

Der er således gode muligheder for at supplere konventionel behandling med tiltag, som egentlig ikke er alternative.

Mislykket forsøg på brobygning.

EDTA behandling for claudicatio har været omtalt. Det har karkirurgerne allerede overvejet. Behandlingen blev testet i et randomiseret placebokontrolleret blindforsøg. Resultatet heraf var, at EDTA-behandlede patienter ikke fik det bedre end de som fik placebo. Undersøgelsen skabte en voldsom reaktion fra EDTA-lægerne og deres patientforening. De gik efter struben på de involverede forskere. Dels var der tilråb, hamren i bordet samt omdeling af brochurer under det Ph.d.-forsvar, som projektet var bundet op på.  Dels forsøgte behandlerne sig med indberetning for videnskabelig uredelighed og forsøg på at få forskningsresultaterne dømt fejlagtige i højesteret. Jeg har svært ved at forestille mig, at brobygning mellem karkirurger og EDTA læger har en realistisk gang på jord.

De ikke-plausible alternative behandlinger.

Mon politikerne har gjort sig nogle tanker om der findes alternative behandlinger som er for absurde til brobygning?

Lad os kigge lidt på et par stykker af de alternative behandlingstilbud.

Healing:
Healing er en alternativ behandlingsform, hvor man (let forenklet) forestiller sig at, behandleren (som her kaldes en healer) kan kanalisere energi fra universet og ind i patienten, og derved styrke kroppens selvhelingsevne. Set fra et naturvidenskabeligt synspunkt er denne forestilling meningsløs. En dansk undersøgelse af healing hos patienter med tarmkræft blev offentliggjort i 2014. Forskerne ville undersøge, om healing kan bedre livskvalitet hos patienter med kolorektalcancer. Svaret var nej. Og dette er helt i tråd med mange andre undersøgelser af healing.

Homøopati:
Et af grundprincipperne er en forestilling om, at stoffer som fremkalder symptomer hos raske personer fjerner de samme symptomer hos syge personer.  Set med nutidige briller er der ikke noget biologisk grundlag for dette princip. Men det var ikke selvindlysende da homøopati blev opfundet.

Et andet grundprincip er, at virkningen af det homøopatiske middel bliver stærkere jo mere det bliver fortyndet. Dette sker dog kun hvis det rystes kraftigt ved hver fortynding. I vore dage kan vi godt forstå, at intet andet i naturen bliver stærkere af at blive fortyndet (og rystet) – Homøopatiske midler er ofte så fortyndede, at der ikke er et eneste molekyle tilbage af det stof som blev fortyndet. Men dette var ikke en selvfølge på opfindelsestidspunktet.

Homøopati dumper (helt som forventet) i velgennemførte videnskabelige undersøgelser. At bygge bro til homøopater er lige så fjollet som at etablere luftkorridorer til flyvende tæpper.

Zoneterapi:
Zoneterapi bygger på en forestilling om, at fodsålen udgør et ”landkort” over resten af kroppen. Man forestiller sig, at terapeuten kan stille diagnoser v.h.a. tryk på fodsålen. Og behandle alt muligt ved hjælp af noget som bedst kan karakteriseres som fodsålsmassage.  Der er ikke anatomiske eller fysiologiske holdepunkter for at det skulle forholde sig sådan. Et forsøg viste, at erfarne zoneterapeuter ikke kunne stille korrekte diagnoser, selvom de udstyredes med en liste over valgmuligheder. Og de indbyrdes uenige om diagnoserne. Et systematisk review fra 2011 fandt, at zoneterapi ikke er brugbart til at behandle noget som helst.

Man kunne blive ved med at opremse alternative behandlingsmetoder, som er ikke-plausible ud fra et biologisk synspunkt. Det er muligt, at politikere synes det er smart med brobygning, forstået på den måde, at det etablerede skal anerkende sådanne absurditeter (uden at alternativisterne skal overveje at acceptere videnskabelige fakta). Men ret beset giver sådan en form for brobygning lige så meget mening som etablering af luftkorridorer til flyvende tæpper.

De plausible alternativer – urtemedicin.

Urtemedicin har en vis plausibilitet. Mange vigtige (patenterede) lægemidler er udviklet fra planter. Nogle naturlægemidler er afprøvet i kliniske forsøg. Af denne grund ved vi, at Rød Solhat er ineffektiv mod forkølelse samt at Perikon har effekt på lettere grader af depression.  Vi ved også, at Rød Solhat kan forårsage astma og mere sjældne tilstande som f.eks. erytema nodosum. Og vi ved, at perikon kan hæmme virkning af mange vigtige lægemidler.

Der er således fornuft bag tanken om at undersøge naturmedicin m.h.t. virkninger og bivirkninger. Forsøg på at kræve dokumentation for virkning og sikkerhed af naturlægemidler i USA mødte massiv modstand fra kosttilskudsindustrien. Ved hjælp af politisk lobbyisme, chikane af deres modstandere samt massiv PR lykkedes det den at forpure en lovgivning, som kunne sikre forbrugerne.

I Europa er reglerne strammere end i USA, men der kunne for min skyld godt strammes op. Når forskning i lægemidler domineres af lægemiddelindustrien, så er det i høj grad en følge af, at der stilles krav til dokumentation af virkninger og bivirkninger før markedsføringen. Det ville være forfriskende hvis politikerne turde stille samme krav til producenter af ”kosttilskud”.

Den formodet stærke placeboeffekt.

Nogle tilhængere af alternativ behandling erkender, at der ikke er nogen specifik virkning. Men de giver udtryk for, at placeboeffekten – den virkning man får udover den aktive behandling – er relevant. Placebo har effekt på symptomer som f.eks. smerter. Men placebo helbreder ikke årsagen til smerterne. Også allergisymptomer er placebofølsomme (for en tid). Men allergien forsvinder ikke fordi man får symptomlindring. Desuden er placeboeffekten uforudsigelig, af beskeden størrelse og ganske kortvarig.

For år tilbage lavede man et forsøg med astmapatienter. Det var et lodtrækningsforsøg, hvor patienterne enten fik rigtig medicin, placebomedicin, placeboakupunktur eller ingen behandling. Patienterne som fik placebomedicin og placeboakupunktur fik samme grad af symptomlindring som de der fik rigtig medicin. Men lungefunktionen forbedredes kun hos de patienter, som fik rigtig medicin. Men formålet med astmabehandling er at forbedre lungefunktionen. Derfor placebobehandling utilstrækkeligt, og kan i værste fald medføre døden pga. manglende erkendelse af hvor svært syg man er.

Alternativ behandling kan ikke afskaffes.                           

Kan/skal man så afskaffe alternativ behandling? Svaret herpå er nej. Men man kan give patienterne mulighed for at vælge alternativ behandling på et informeret grundlag fremfor et misinformeret grundlag. Nogle patienter er fuldt ud tilfredse med at få en placeboeffekt. Og hvis de forstår at det er placebobehandling de får, og er med på hvad placebo kan og ikke kan, så er etikken på plads.  

Det er redeligt at fortælle patienten, at der ikke er lægelig grund til at tro, at der er specifik effekt af den alternative behandlingsform, som patienten ønsker. Og at man gerne vil se patienten igen og høre hvordan det går. Selvfølgelig skal patienten kunne tale åbent med sin læge om sit ønske om at prøve alternativ behandling. Men det har intet med brobygning at gøre.